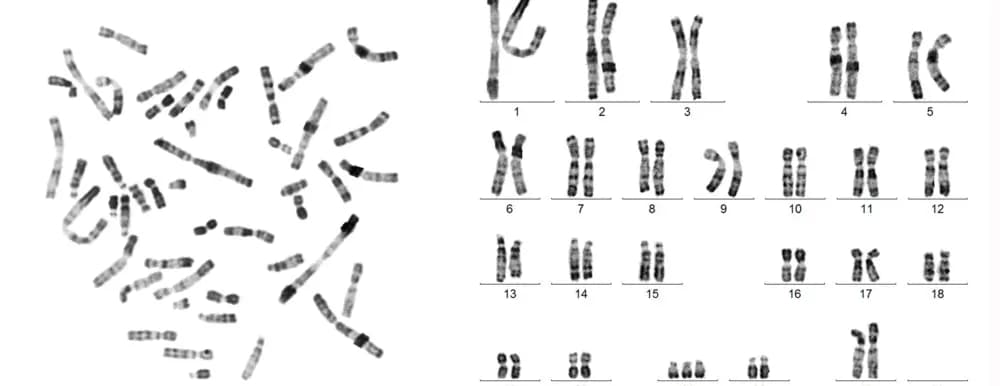
Karyotype Karyotype Worksheets
Karyotype Karyotype worksheets curated by Worksheetzone
Gain instant access to Karyotype Karyotype Worksheets, a trusted resource for educators and families alike. Whether you're managing a full classroom or guiding at-home learning, these Karyotype Karyotype Worksheets offer structured, easy-to-follow worksheets that promote clear skill progression. Each sheet is organized by grade level and learning target, making it simple to find exactly what you need.
Clear All
39 worksheets found









